
At Bare & Balanced Podiatrist, we love seeing kids. We comprehensively asses and compare to normative values. As children grow they go through varied stages of lower limb rotation which can cause concern for some parents. If you are concerned book today for our comprehensive assessment. Treatment and management will depend on your child's concern.

- footwear plays a big role in the healthy growth and development of feet
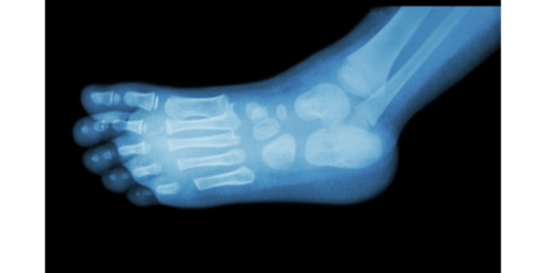
- the x-ray of a child's foot can reveal their age
- the child's foot doesn't begin to resemble the function of an adults foot until around the age of 5-7 years
- many bones in children's feet start off as cartilage
- the ossification centre of the navicular doesn't emerge until around the age of 3 (meaning you won't spot it on x-ray)

We provide expert advice and management of:
- rotational lower limb concerns
- footwear advice and recommendation
- warts
- nail care
- ingrown toenails
- skin concerns
- sweaty and smelly feet
- flexible and rigid flat feet
- kids orthotics
- bunions
- in-toeing
- out-toeing
- toe walking
- heel pain
- knee pain & alignment concerns
- coalitions
- misaligned digits
- limb length differences
Copyright © 2025 Bare & Balanced Podiatrist - All Rights Reserved.
We use cookies to analyze website traffic and optimize your website experience. By accepting our use of cookies, your data will be aggregated with all other user data.